Cabinet du Docteur Stéphane RENGER
Dr Stéphane RENGER Spécialiste qualifié en orthodontie exclusivement
ACCUEIL
Dr Renger et les assistantes
RDV 1ERE CONSULTATION
Le cabinet
APPAREILLAGES ET TRAITEMENTS
UNE QUESTION?
ACTUALITES
INTERVIEW
ARTICLES
DIVERS
FORMATIONS DONNEES PAR STEPHANE RENGER
CONFERENCE DONNEE AU CONGRES DE BALI EN 2018
CONFÉRENCE DONNÉE AU CONGRÈS NATIONAL À PARIS EN 2024
FORMATIONS DE L'EQUIPE
Congrès orthodontistes Vietnam juillet 2025
URGENCES
PRENDRE RDV
13 rue du Temple
68300
SAINT-LOUIS
+33 3 89 70 11 33
Cabinet du Docteur Stéphane RENGER
Dr Stéphane RENGER Spécialiste qualifié en orthodontie exclusivement
ACCUEIL
Dr Renger et les assistantes
RDV 1ERE CONSULTATION
Le cabinet
APPAREILLAGES ET TRAITEMENTS
UNE QUESTION?
ACTUALITES
INTERVIEW
ARTICLES
DIVERS
FORMATIONS DONNEES PAR STEPHANE RENGER
CONFERENCE DONNEE AU CONGRES DE BALI EN 2018
CONFÉRENCE DONNÉE AU CONGRÈS NATIONAL À PARIS EN 2024
FORMATIONS DE L'EQUIPE
Congrès orthodontistes Vietnam juillet 2025
URGENCES
PRENDRE RDV
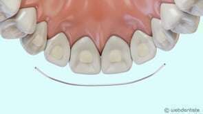
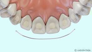
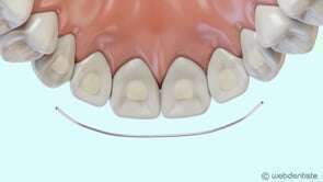
Fil de contention
Vidéos 3D
Partager
Twitter
Partager
Partager
Envoyer
Copier
Cabinet du Docteur Stéphane RENGER
13 rue du Temple
68300
SAINT-LOUIS
+33 3 89 70 11 33
En savoir +
Politique de confidentialité et charte cookie
Mentions légales
Conditions Générales Utilisation
Charte déontologique
Ordre national
Annuaires chirurgiens dentistes
Liens utiles
Hygiène & Asepsie
Honoraire & remboursement
Diaporama
Recherche
Création par
Connexion